7 typov úsmevov, ktoré ľahko zachráni zubný strojček INVISALIGN. Ktorý je ten váš? 

Vedeli ste, že dokonalý úsmev má asi iba 15% populácie?

Aj keď v časopisoch a filmoch vidíme na celebritách len bezchybné a žiarivé úsmevy, realita je iná. U nás, bežných smrteľníkov, je nejaký ten nedostatok úplne bežný.

Nemusíte sa preto hanbiť, ak nemáte úsmev ako Tom Cruise. Možno za to môžu gény alebo sa to začalo v detstve. Cmúľali ste si palec alebo ste s obľubou hrýzli ceruzky? Prišli ste o mliečne zúbky príliš skoro? Aj to mohlo mať pre váš úsmev neblahé následky.

Nech už bola príčina akákoľvek, dobrou správou je, že dnes sa to už dá jednoducho a bezbolestne napraviť. Už dávno neplatí, že strojčeky na zuby sú len pre malé deti.

Veď aj ja sama som nosila zubný strojček, najskôr keramický lepený a potom neviditeľný. A keď som už spomenula toho Toma Cruisa, vedeli ste, že aj on nosil neviditeľný strojček Invisalign?

Aké typy “krivých zubov” nás vedia potrápiť?

Možno ste prekvapení, ale naozaj existuje viacero anomálií polohy zubov. Nájdete medzi nimi aj váš úsmev?

Na fotografiách uvidíte našich pacientov pred a po liečbe neviditeľným strojčekom Invisalign.

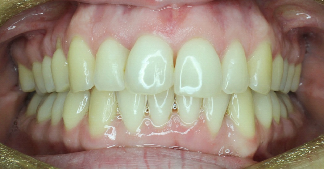
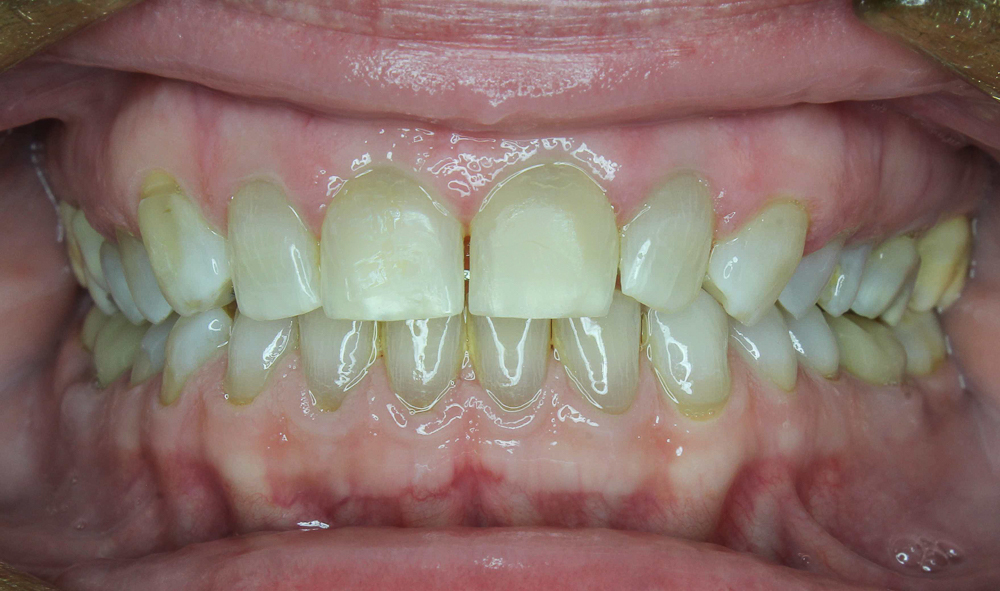
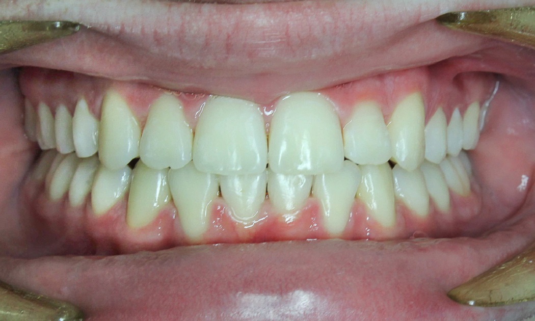
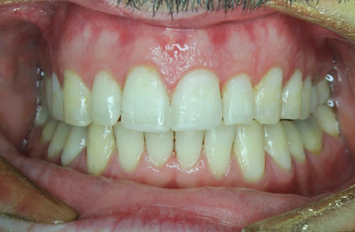
1. Stesnanie

Zuby chcú rásť, ale v ústnej dutine nie je dosť miesta pre každý z nich. V takomto prípade nastáva niečo, čo my, zubári, voláme stesnanie.

Každý zub sa snaží prerezať na svoje miesto, kvôli čomu tlačí a posúva tie ostatné. Tie sa potom dostanú do rôznych neprirodzených polôh a krivý úsmev je na svete.

Majiteľ takéhoto úsmevu má kvôli tomu nielen estetické, ale často aj zdravotné problémy. V tesných medzizubných priestoroch sa ľahko ukladá zubný povlak, ktorý nie je také jednoduché odstrániť. Povlak tlačí na ďasná a spôsobuje ich zápal, takže je u takýchto pacientov vyššie riziko zubného kazu.

Náš pacient pred a po liečbe neviditeľným strojčekom Invisalign.

 

7 typov úsmevov, ktoré ľahko zachráni zubný strojček INVISALIGN. Ktorý je ten váš?     7 typov úsmevov, ktoré ľahko zachráni zubný strojček INVISALIGN. Ktorý je ten váš? 

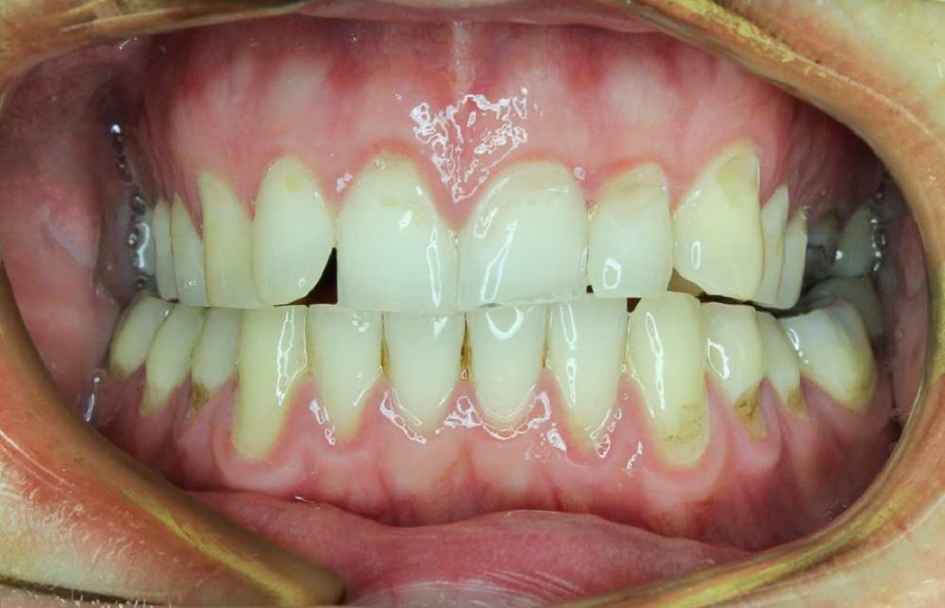
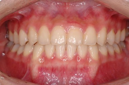
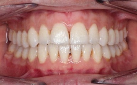
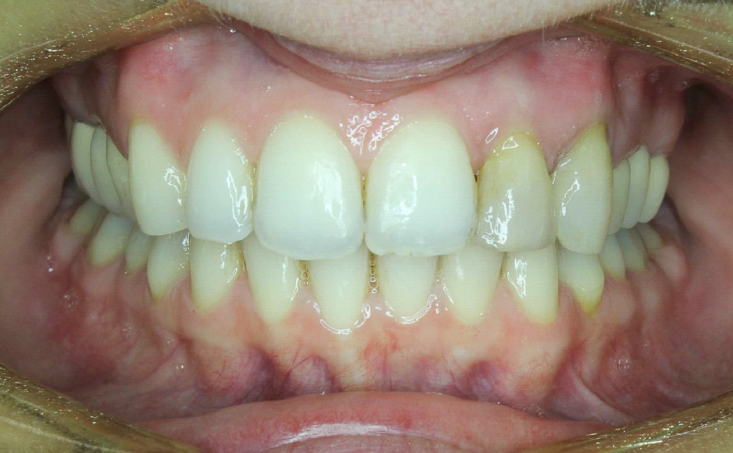
2. Hlboký záhryz

S touto odchýlkou sa u nás v ambulancii stretávame pomerne často.

“Hlboký záhryz” znamená, že horné predné zuby prekrývajú korunky tých dolných. V krajnom prípade sa dokonca môže stať, že si pacient dolnými rezákmi hryzie do podnebia a hornými na sliznicu.

Ľudia s takouto anomáliou svoj problém často ani neriešia, pretože pri bežnom úsmeve to nie je až tak vidieť. To ale neznamená, že im nemôže narobiť poriadne problémy!

Nebezpečenstvo číha v tom, že sa preťažujú čeľustné kĺby, pri otváraní úst môže byť počuť klikanie a prežúvanie býva bolestivé. Okrem toho sa obrusujú a opotrebúvajú rezáky a skracuje sa tak korunková časť zuba.

A tak sa môže stať, že zubár tento problém odhalí až v dospelosti, keď sa pacient sťažuje na bolesti v kĺbe alebo objaví krivý, vyčnievajúci rezák.

Náš pacient pred a po liečbe neviditeľným strojčekom Invisalign.


7 typov úsmevov, ktoré ľahko zachráni zubný strojček INVISALIGN. Ktorý je ten váš?    7 typov úsmevov, ktoré ľahko zachráni zubný strojček INVISALIGN. Ktorý je ten váš? 

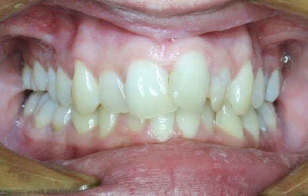
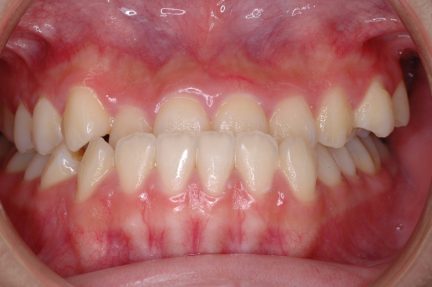
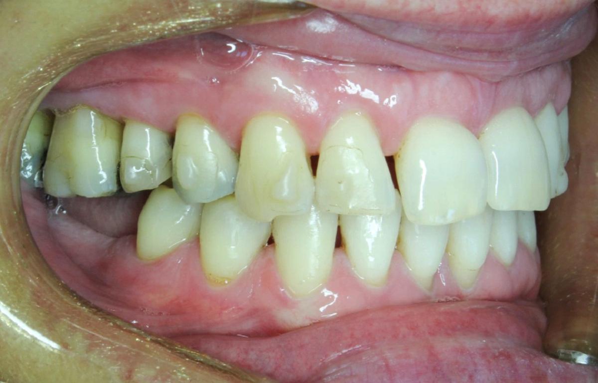
3. Predkus

Ľudia s predkusom svoj problém, žiaľ, tak ľahko neskryjú. Za svoj úsmev sa často hanbia a snažia sa mu vyhýbať.

Tam však nepríjemnosti spojené s predkusom nekončia. S takýmto chrupom je náročné poriadne prežuť jedlo, čo môže skončiť tráviacimi ťažkosťami alebo bolesťou v čeľustnom kĺbe. Ak patríte medzi ľudí s predkusom, dávajte si pozor aj na úrazy predných zubov!

Navyše, takéto zuby sa ťažko čistia. To je dobrá správa pre zubný povlak a kaz, ale veľmi zlá pre pacienta.

Náš pacient pred a po liečbe neviditeľným strojčekom Invisalign.

7 typov úsmevov, ktoré ľahko zachráni zubný strojček INVISALIGN. Ktorý je ten váš?    7 typov úsmevov, ktoré ľahko zachráni zubný strojček INVISALIGN. Ktorý je ten váš? 

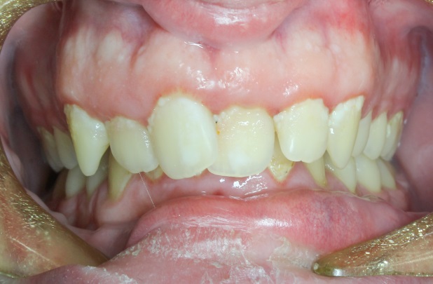
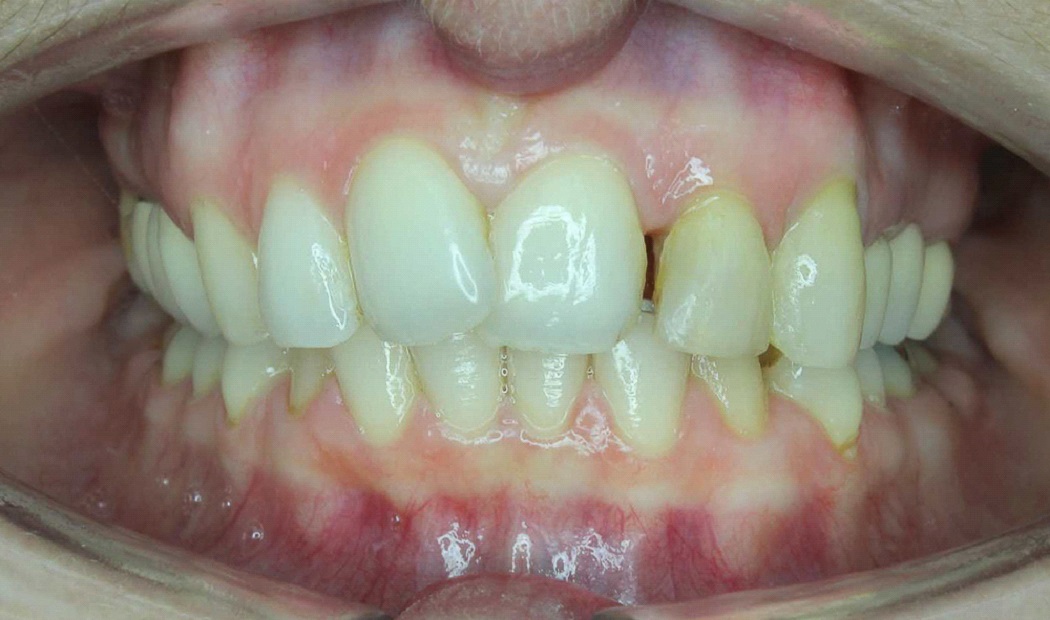
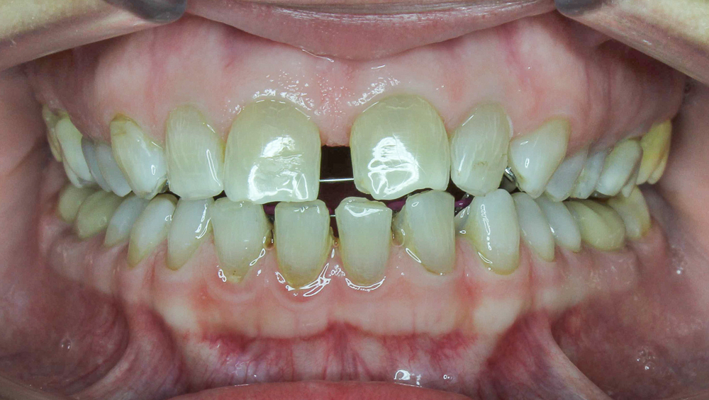
4. Otvorený zhryz

Všimli ste si už niekedy človeka, ktorému sa akoby nedali privrieť zuby tesne k sebe a tak sa mu pery úplne nezavreli? Pravdepodobne trpel anomáliou s názvom “otvorený zhryz”.

Takýto chrup so sebou zvykne prinášať aj rečové problémy, pretože sa jazyk veľmi ľahko dostane medzi zuby. Jednoduché nebýva ani odhrýzanie z jedla.

Ako sa to mohlo stať? Otvorený zhryz môže byť vrodený alebo sa vytvorí už v mladom veku, keď sa na zuby vyvýja neprimeraný tlak (jazykom, cumlíkom...).

Náš pacient pred a po liečbe neviditeľným strojčekom Invisalign.

7 typov úsmevov, ktoré ľahko zachráni zubný strojček INVISALIGN. Ktorý je ten váš?    7 typov úsmevov, ktoré ľahko zachráni zubný strojček INVISALIGN. Ktorý je ten váš? 

5. Skrížený zhryz

Bežne bývajú naše horné zuby pri zahryznutí pred dolnými. V prípade skríženého zhryzu to je však naopak. Jeden či viac horných zubov sa dostane za spodné.

Čím dlhšie tento problém neriešite, tým je to horšie. Pri každom zahryznutí sa totiž zuby veľmi opotrebúvajú. Zubná korunka sa stále viac zmenšuje a ďasná ustupujú a poškodzujú sa. Skrížený zhryz vie tiež veľmi zaťažiť kĺby a spôsobuje, že sánka rastie nesúmerne.

Náš pacient pred a po liečbe neviditeľným strojčekom Invisalign.

7 typov úsmevov, ktoré ľahko zachráni zubný strojček INVISALIGN. Ktorý je ten váš?    7 typov úsmevov, ktoré ľahko zachráni zubný strojček INVISALIGN. Ktorý je ten váš? 

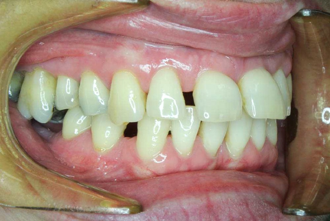
6. Medzerovitý chrup

Deti s medzerami medzi zúbkami vyzerajú celkom milo, iné je to však pri dospelých. Prinášajú im kopu problémov od nezvyčajného vzhľadu, cez šušľanie až po ukladanie povlaku a zubného kameňa v medzizubných priestoroch.

S takýmto chrupom môžete skončiť napríklad vtedy, keď jeden zo zubov v rade chýba, a tak sa ostatné prispôsobia a poposúvajú. Ďalšou možnosťou je, že zuby narastú menšie, zatiaľ čo zubné oblúky sú veľké.

Náš pacient pred a po liečbe neviditeľným strojčekom Invisalign.

7 typov úsmevov, ktoré ľahko zachráni zubný strojček INVISALIGN. Ktorý je ten váš?    7 typov úsmevov, ktoré ľahko zachráni zubný strojček INVISALIGN. Ktorý je ten váš? 

Medzierka medzi prednými zubami

Táto sympatická anomália mnohým ľuďom pristane alebo sú na ňu dokonca hrdí. Napríklad taký Arnold Schwarzenegger, Madonna či Vanessa Paradis.

Zväčša sa objaví preto, že zuby narastú menšie a nevyplnia celý priestor v ústach alebo nejaký zub v chrupe chýba. Medzierka medzi prednými zubami vznikne tiež vtedy, keď je zväčšená labiálna uzdička (to je ten kúsok tkaniva, ktoré spája hornú peru s ďasnami predných zubov).

Náš pacient pred a po liečbe neviditeľným strojčekom Invisalign.

7 typov úsmevov, ktoré ľahko zachráni zubný strojček INVISALIGN. Ktorý je ten váš?    7 typov úsmevov, ktoré ľahko zachráni zubný strojček INVISALIGN. Ktorý je ten váš? 

7. Abradované zuby

Pri nesprávnom zhryze a nesprávnom postavení zubov sa vekom zuby zodierajú. Postupne sa stráca sklovina.a zuby začnú byť citlivé. Ak sa zhryz neupraví strojčekom zuby sa postupne skracujú. 

Náš pacient pred a po liečbe neviditeľným strojčekom Invisalign.

7 typov úsmevov, ktoré ľahko zachráni zubný strojček INVISALIGN. Ktorý je ten váš?    7 typov úsmevov, ktoré ľahko zachráni zubný strojček INVISALIGN. Ktorý je ten váš? 


Našli ste sa?

Každý z nás je jedinečný, a preto tieto prípady nevystihnú každý jeden krivý chrup na svete. Váš prípad môže byť ľahší alebo zložitejší, či dokonca kombináciou rôznych anomálií naraz.

Možno ste sa teraz dozvedeli niečo viac o svojich zuboch, ale jedna otázka stále zostala nezodpovedaná: “Čo s tým?”

V prvom rade svojmu chrupu doprajte pravideľnú starostlivosť. Keď sú zuby krivé a medzery nepravidelné, veľmi ľahko sa v nich ukryje a nahromadí zubný povlak - najväčší nepriateľ zdravého chrupu. Samozrejmosťou by pre vás mali byť pravidelné preventívne prehliadky a návštevy u dentálnej hygieničky.

Ak vám však krivé zuby komplikujú život a bojíte sa usmievať, možno je čas zmeniť to raz a navždy...

Aj váš úsmev sa dá zachrániť

V našej klinike sme sa stretli už snáď s každým typom krivých zubov, a tak vám môžem sľúbiť, že nič nie je stratené. Videli ste fotografie našich pacientov pred a po liečbe neviditeľným strojčekom Invisaliggn.Vyrovnanie chrupu už ide s modernou technikou omnoho rýchlejšie, bezbolestnejšie a nenápadnejšie ako v minulosti. A výsledky vám zostanú na celý život. Nielen že sa budete môcť popýšiť krásnym úsmevom, ale vaše zuby sa budú aj menej kaziť a budú vám slúžiť omnoho dlhšie.

Môžete sa zastaviť u čeľustného ortopéda na krátku, nezáväznú a, samozrejme, bezbolestnú konzultáciu. Poradí vám, aké riešenie by bolo pre váš problém najlepšie, koľko bude liečba trvať, čo vás to bude stáť…

Radi sa s vami stretneme na konzultácii aj na našej klinike AXIS-DENT v Dunajskej Strede alebo Šamoríne.

Objednajte sa:

do Šamorína - online cez https://www.navstevalekara.sk/lekari/zubne-strojceky--celustny-ortoped  alebo  http://www.axis-dent.eu

do Dunajskej Stredy - recepcia +421948 303 124  alebo mailom info [at] axis-dent.eu

Konzultácia je spojená so simuláciou liečby. Cena 35 eur. Dĺžka návštevy 30 minút.

 

Za tím z kliniky AXIS-DENT:

7 typov úsmevov, ktoré ľahko zachráni zubný strojček INVISALIGN. Ktorý je ten váš? 

MUDr. Eva Hrutková 
Zubná lekárka / čeľustný ortopéd 
info [at] axis-dent.eu

“AXIS-DENT: Zdravé a rovné zuby po celý život”

logo

axis-dent.eu 
+421 948 303 124 (recepcia) 
info [at] axis-dent.eu